Experience Care in Turkey’s Comfydent treatment with dental implants in Turkey and keep stares where they should be: in your eyes!

You want to smile confidently and without gaps? The problem is dental implants are prohibitively expensive.
Rejoice and do not despair. While a dental implant is never under £2,000 in the UK (and as much as $25,000 in the US), the cost of dental implants in Turkey is about £500 for the best Swiss-made products.
Calculations are quickly made: flight, hotel and private driver all-included, you save 70% in titanium implants. That’s while enjoying an exclusive VIP treatment and visiting the jewel of the Mediterranean: Istanbul.
Dental Implants at a Glance
![]()
![]()
![]()
![]()
![]()
![]()
Dental implants are artificial tooth roots that are placed into the jawbone to replace a single missing tooth, several missing teeth, or to support a full arch of replacement teeth.
Implants are usually made of titanium and are surgically implanted into the jawbone. The bone around the implant grows and fuses to the implant, creating a strong foundation for the replacement tooth.
You’re missing teeth and getting dental implants in Turkey might sound like a good idea. But hold on. Just because you’re missing teeth doesn’t mean you need implants.
Implants are a long-term solution for people who have missing teeth due to injury, periodontal disease or other reasons. But if you’re missing teeth in the back of your mouth, it’s probably not worth it.
If you lack teeth elsewhere, chances are implants will restore your ability to chew and speak, and improve your overall appearance.
Responsible dentists will refuse to treat you under certain circumstances. There are cases in which dental surgery is contraindicated.
Refusal criteria may include:
Should you want to know if you are eligible for teeth implants in Turkey, get in contact with us for a free online consultation.
Alternatively, you can also take this test to receive online results instantly.
We strive to make your experience comfortable and stress-free while achieving the best possible results. Do we succeed? Itzik Zohar, a famous football star, has something to say about that!
There is no such thing as “the best implant”. The best is always the best for you, and this depends on personal factors, such as budget, jawbone and mouth topography.
We can give you professional advice, but the last decision is always yours. Care in Turkey operates with Swiss-made Straumann implants & German-made Ivoclar crowns.
Here are the 5 main types of dental implants in Turkey:
The Pearly White Single tooth or endosteal implants are drilled inside the jawbone and serve as an anchor to support the crowns on top. This type of implants is only feasible if the recipient’s jaw bone is strong and healthy. If not, other alternatives are recommendable.
The Smile Makeover Patients lacking several teeth may be interested in all on 4 dental implants in Turkey. A 4-implant foundation on top or bottom of the mouth serves as a base to fit a whole denture.
The Nut-Cracker Patients whose bone structure is not solid enough will have a longer-lasting denture with all on 6 instead of all on 4 implants.
The Invisible Subperiosteal implants are the best alternative when the bone structure is insufficient to place any endosteal implants. This kind of implant is not anchored into your jaw and rests instead on top of it, below the gingiva.
The Smile Design Bridges are typically recommended for people who have lost several teeth on the left or right side of the mouth. They usually consist of two implants holding a structure of 3 or more tooth crowns on top.
The Denture Anchor Perfect for stabilizing loose dentures. Mini implants are smaller and less invasive, making them a quick and affordable choice. They're ideal for those with reduced jawbone density who want to firmly secure a denture.
NO surprise fees, just... surprising fees!
If you require a complete smile makeover, our full-mouth dental implants Turkey package deals are here for you. The more implants you need, the greater the price reduction.
Care in Turkey operates with implants manufactured in Germany and the US, we don’t get any special offers compared to any other company in any other country.
The main reason behind the cost of dental implants in Turkey is currency exchange. The lower comparative value of the Turkish lira leads to reduced costs in staff, rent, bills, equipment and so forth.
Other factors leading to price differences include:
You shouldn’t travel abroad without a clear idea of how your medical tourism experience will look like.
Here is the ‘4 Ps’ process of dental implants in Turkey:
Here’s our 6 main recommendations:
1. Maintain good oral hygiene
2. Avoid tobacco use
3. Follow a healthy diet
4. Attend regular check-ups: Regular visits to your dentist are essential to ensure the implant is stable and healthy and to detect any issues early on.
5. Avoid excessive force or trauma: Avoid biting or chewing hard foods, and try to avoid any actions that could put excessive force on the implant.
6. Protect your implant from injury: If you play sports or engage in other activities that could result in trauma to the mouth, use a mouthguard to protect your implant.
Dr. Mevlüt Yazici is a prosthetic and esthetic periodontologist, member of the Turkish Association of Gnathology and Prosthetics, member of the Ivoclar Esthetic Dentistry Association and a researcher with a reputed academic background as lecturer at Marmara University.Surgeons
Dr. Mevlüt Yazıcı
Dr. Mevlüt Yazici is a prosthetic and esthetic periodontologist, member of the Turkish Association of Gnathology and Prosthetics, member of the Ivoclar Esthetic Dentistry Association and a researcher with a reputed academic background as lecturerat Marmara University.
Dr. Yazici obtained his periodontology PhD in the Department of Prosthetic and Esthetic Dentistry, specializing in advancements in zirconium crowns. He continued his research while lecturing during 2011-2017 at Marmara University.
With more than 10 years of experience as a medical practitioner, Dr. Mevlüt has operated over +1000 patients as a maxillofacial periodontologist between 2012-2020.
In 2020, Dr. Mevlüt partnered to found his own Esthetic Dentistry and Implantology Clinic through which he operates overseas patients from diverse backgrounds with Care in Turkey.
Have you ever bought a piece of assembly furniture, skipped a step in the instructions, and later realized it was important? The same happens with teeth implants in Turkey.
There are 4 necessary phases to restoring teeth. Not 2 phases, not 3 phases, but 4 phases:
This means: to get teeth implants in Turkey, you must visit Istanbul twice.
The cost of dental implants in Turkey remains 70% more affordable, but a double visit is not ideal if you don’t enjoy traveling.
To solve this inconvenience, some clinics have come up with a dangerous offer for overseas patients…
“Same day dental implants in Turkey”.
100% chance of complication if the procedure is performed in a single day. Mouth analysis isn’t accurate enough at a distance, without proper clinical examination. Furthermore, a single day procedure doesn’t allow sufficient healing time betweenstages 2 & 4 (see above). We strongly warn patients against procedures of the like and the unethical use of marketing to promote dangerous operations. Same day dental implants in Turkey can lead to very serious consequences, including:
We invite you to consult your family dentist and check the reliability of this information.
Care in Turkey advises patients to make a thorough research and gather different advices before choosing a medical provider.
Getting dental implants in Turkey costs an average %70 less than in Europe or the US. Full mouth dental implants in Turkey package deals are priced between €2500 to €7000. This is the average cost of all-on-6 implants on top and bottom of your mouth according to their type and material, including private transportation in Istanbul, hotel accommodation and all clinical expenses. The same procedure costs anywhere between £12,000 to £25,000 in the UK. This does not even include the consultation, which is around £150, a service we give for free. The cost of dental implants in Turkey has played a decisive role in the medical tourism boom that has attracted hundreds of thousands of patients to Istanbul every year since the early 2010s.Cost of Dental Implants in Turkey
Turkey received 150,000 dental tourists in 2019. This didn’t happen without a reason.
The reputation of Turkey for dental tourism has rapidly grown due to:
Dental implants are a significant investment, and we want to make sure that our patients have the best possible experience.
If you have a problem with dental implants in Turkey, the first step is to contact our clinic as soon as possible. Our team will work with you to understand the problem and provide a satisfactory solution on the spot.
Our complication rate is extremely low, but no-one is infallible, and neither are we. Following medical standards and professional ethics, we have incorporated a clause in our Terms & Conditions granting you free revision surgery in case of unsatisfactory results due to negligence.
The healing process after a dental implants in Turkey can vary depending on the individual, but it typically involves the following stages:
🏨 Immediate post-operative stage: This is the first stage of healing, beginning immediately after the procedure. The area around the implant may be swollen, bruised, and sore, and some bleeding may occur. It is important to follow the post-operative instructions provided by the dentist, taking prescribed medications, avoiding smoking and using ice packs to reduce swelling.
👨🏻⚕️ Osseointegration stage: This is the second stage of healing, it typically lasts for around 3-6 months. During this stage, the implant and the surrounding bone fuse together, a process known as osseointegration. This is an essential step in the healing process, as it allows the implant to become a stable foundation for the replacement tooth.
🦷 Abutment stage: This is the third stage of healing, which typically occurs after the osseointegration stage is complete. During this stage, the dentist will place an abutment, which is a small connector piece that attaches the implant to the replacement tooth. This step can be done in one visit or two depending on the type of implant and the dentist’s preference.
💯 Prosthetic stage: This is the final stage of healing, it typically occurs after the abutment stage is complete.
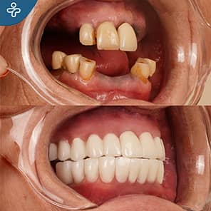
Explore before and after photos of real patients who have received dental implants in Turkey. These images highlight the successful and natural-looking results, helping you see what’s possible. Viewing real examples can give you more confidence in making your decision. Dental Implants Turkey Before and After Photo Gallery. Click for more >>Dental Implants in Turkey Before and After


Our priority is taking care of your healthy teeth while solving your dental issues. We will never extract any healthy tooth if there is any other alternative.
We believe this is the best approach. Every tooth is irreplaceable, and none are better than the naturally-given ones.
You will get the maximum benefit from teeth implants in Turkey if you want to:
👍🏼 Replace missing teeth and improve your appearance.
👍🏼 Restore the ability to properly chew and speak.
👍🏼 Maintain the shape of the face and prevent bone loss.
👍🏼 Improve self-esteem and confidence.
👍🏼 Stop using dentures
There are several alternatives to dental implants, each with its own advantages and disadvantages. The best alternative for a particular patient will depend on their specific situation and needs. Some of the most common alternatives include:
Dentures are typically made of acrylic or a combination of acrylic and metal. They are a more affordable alternative to dental implants, but they may not be as stable or secure.
Bridges are fixed dental appliances that replace missing teeth by anchoring to the natural teeth on either side of the gap. They are typically made of porcelain or metal, but they can lead to damage to those teeth.
Dental crowns can fit over the remaining natural tooth structure, providing a support for a bridge or a stand-alone solution for a single missing tooth. However, they can also lead to damage to that tooth.
Resin-bonded bridges are a type of dental bridge that attaches to the back of the natural teeth on either side of the gap. They are typically made of porcelain or metal. However, they are not as durable as traditional bridges or implants.
Implant-supported dentures are a hybrid solution of dental implants. They are typically used for patients who have lost most of their teeth and are not suitable for dental implants.
Our expertise in dental proportions is the cornerstone of our craft. We evaluate the unique structure of your jaw and enhance the harmony between your features. We’re not the ones saying this. Our patients are! Care in Turkey has truly raised the bar when it comes to dental care, and Dr. Mevlut is an absolute gem. With his expertise and precision, he turned my dental imperfections into a stunning Hollywood smile. The dental implant procedure was seamless, thanks to Dr. Mevlut's gentle approach and attention to detail. The entire team at Care in Turkey radiates professionalism and warmth. If you're looking for exceptional dental services, look no further than Dr. Mevlut and Care in Turkey. Dr. Mevlut at Care in Turkey is a dental wizard who works wonders. I underwent dental implant treatment, and I am astounded by the seamless results. Dr. Mevlut's expertise and gentle approach made the entire process a breeze. The staff at Care in Turkey were incredibly professional and provided top-notch care. For those seeking a flawless smile and exceptional dental services, Dr. Mevlut and Care in Turkey are the epitome of excellence. The office is clean and modern. The equipment is new technology and efficient. I had an extraction, sinus lift, implant, and six months later a fabricated tooth installed. It feels great with no issues of fit or bite. I had a personal translator provided at every stage. They came into each appointment with me even though the doctor spoke English very well. I felt secure that my every need would be understood and great care was taken that I understood every procedure undertaken. Visited care in Turkey to have dental implant surgery. My experience was that of a very professional set up. I had around 10 teeth extracted and 12 dental implants screwed into the jaw bone, plus sinus lift. Throughout the procedure I experienced no pain. After the procedure was over I was given 2 types of antibiotics and a painkiller jab in my leg after surgery and tablets to take 24 hours later. Am going back in 6 months for my final teeth to be fitted. This service is so geared to ensure that their client is really looked after, from hotel to taxi service to and from the airport and from hotel to dental clinic. If you are a little frightened of having implants, then there is no need to be. Reviews
Professionalism and Warmth
![]()
Oct 8, 2023Expertise and Gentle Approach
![]()
Oct 7, 2023It feels great with no issues
![]()
Jan 20, 2024Fantastic Service
![]()
Oct 4, 2024
Delicious Mediterranean food, 3000 years of history, palaces, harems…
Dental implants in Turkey can change your life… or they can just change your mouth.
Discovering cities as rich in history as Istanbul might not be your cup of tea, and that’s perfectly fine.
But if it is, Turkey can offer you much more than just dentistry.
Like any other medical procedure, dental implants in Turkey have potential risks and benefits. It is important to consult a qualified, experienced specialist to make sure the procedure is suitable for you and to understand its risks and benefits.
Placing dental implants does not involve manipulating any organs, which means that risks are very limited. Yet it is important to consider all the dimensions of the treatment. We highly encourage you to do your own research before making a pondered decision.
⚠️ It’s also essential to choose a reputable and certified clinic, ensuring a safe and successful procedure.
Typically, the whole implant procedure can be completed in 2 days. The problem is a 6-month period must span between those 2 days.
Unfortunately, this is the standard procedure all over the world: implants need to become strong and stable enough to support the replacement teeth, and that takes time.
You will have to travel to Istanbul twice if you want to get teeth implants in Turkey. Good news is you will save 4-digit figures despite the 4 plane tickets required.
Lastly, there are plenty of things to do and see in Turkey. From sightseeing in Istanbul to soaking up the sun on the Mediterranean coast, Turkey has something for everyone.
Our full mouth dental implants in Turkey package deals include:
Turkey is full of highly experienced dentists who carry out outstanding work. But there are also bad dentists who project an image of professionalism while not even being properly licensed. Just as anywhere else, you will have to make your own research and choose based on reviews, consultation, before and afters, certifications and instinct.
Sign up and receive updates and news about Care in Turkey