Un tratamiento adecuado con coronas dentales puede asegurar equilibrio y armonía que duran toda la vida.

Los dientes son como ladrillos en una pared. Los puntos débiles eventualmente llevarán al colapso de la estructura: por eso las bases sólidas son cruciales.
Coronas Dentales de un Vistazo
![]()
![]()
![]()
![]()
![]()
![]()
Una corona dental es una restauración similar a una tapa que está hecha a medida para cubrir un diente dañado o en mal estado. Generalmente está hecha de porcelana, cerámica o metal y su propósito es restaurar la forma, tamaño, fuerza y apariencia de los dientes.
Las coronas no siempre son la mejor solución para propósitos estéticos o funcionales, y aunque lo sean, no significa que debas obtenerlas inmediatamente. La ortodoncia podría ser muy recomendable de antemano, o incluso necesaria para garantizar resultados duraderos.
Las coronas dentales podrían ser una buena opción si deseas:
Turquía recibió 150,000 turistas dentales en 2019.
Aquí están los principales factores que contribuyen a la creciente reputación de Turquía en el turismo dental: Atención Médica
Turquía tiene un sistema de salud moderno, con más médicos por habitante que cualquier otra nación europea. Muchas de sus clínicas dentales están acreditadas por organizaciones internacionales como ISO.
Dr. Mevlüt Yazici es un periodoncista protésico y estético, miembro de la Asociación Turca de Gnatología y Prótesis, miembro de la Asociación de Odontología Estética Ivoclar y un investigador con un reconocido historial académico como profesor en la Universidad de Marmara.Cirujanos
Dr. Mevlüt Yazıcı
Las coronas dentales brindan soluciones tanto para la funcionalidad como para la belleza. Elegir una sobre la otra afectará en gran medida los resultados en cuanto a raspado de dientes, durabilidad, estética y precio.
Aquí tienes todo lo que necesitas saber para elegir las mejores coronas dentales en Turquía:
Las coronas de porcelana consisten en una base metálica recubierta con porcelana. Son la opción más rentable, natural y estéticamente agradable. Si se cuidan adecuadamente, serán duraderas y proporcionarán una solución a largo plazo.
Pros:
Contras:
Las coronas Emax son la máxima artesanía en odontología. Hechas de vidrio de disilicato de litio, brillan como la luna y se ven bastante naturales, siendo al mismo tiempo fuertes y duraderas. Se puede aplicar una capa de porcelana sobre ellas, lo que las convierte en la opción más estética.
Pros:
Contras:
¡Hechas para resistir! Las coronas de Zirconio son casi imposibles de romper. Son 3 veces más fuertes que la porcelana, lo que explica por qué son la opción más duradera. Hechas de dióxido de zirconio, también tienen una apariencia natural y no se manchan.
Pros:
Contras:
Las carillas no son coronas, estrictamente hablando. Son una fachada colocada frente a tus dientes con fines estéticos, sin cubrir completamente el diente. No proporcionan una solución a problemas dentales en términos de funcionalidad, pero son económicas y lucen muy bien.
Pros:
Contras:
Para un extravagante bling-bling. Los raperos han convertido las coronas de plata y oro en un elemento de moda. El oro y la plata también son los metales más nobles, lo que significa que son extremadamente duraderos y funcionales.
Pros:
Contras:
Obtener coronas dentales en Turquía cuesta un promedio de 70% menos que en Europa o EE. UU. Puedes consultar nuestra tabla a continuación para obtener una estimación más precisa. El costo de las coronas de zirconio en Turquía es de un promedio de $130-$250 por corona, mientras que en el Reino Unido el rango de $550-$900 es el único rango de precios en el que se encuentran. Tenga en cuenta: los precios pueden variar significativamente dependiendo del tipo de corona y la cantidad requerida. Cuantas más coronas necesite, mayor será el descuento. La diferencia de precio con respecto a Turquía sigue siendo equivalente. ¿Quieres saber el precio exacto de las coronas dentales en Turquía, incluyendo un plan de tratamiento personalizado y presupuesto? Podemos hacerlo por ti, de forma gratuita. La razón principal detrás del precio más bajo de las coronas dentales en Turquía es en realidad el tipo de cambio, ya que reduce los costos adyacentes como mano de obra, alquiler y equipo. Otros factores incluyen la alta competencia en el sector y las exenciones fiscales, la principal forma de subsidios gubernamentales a la industria médica. La razón es muy sencilla. En Care in Turkey, no producimos materiales de zirconio, emax o porcelana. Recibimos coronas enviadas desde Suiza y Alemania por Ivoclar y otros socios de alta calidad. En otras palabras, obtenemos los mismos precios y descuentos para nuestros productos que cualquier otra clínica en otro lugar.Costo de las Coronas Dentales en Turquía
¿Por qué son más baratas las Coronas Dentales en Turquía?
Viajar al extranjero por motivos médicos ya es bastante complicado. Es por eso que te proporcionamos todo, para que puedas disfrutar plenamente de la experiencia.
Nuestros Paquetes de Viaje Médico incluyen:
Viajar para una abdominoplastia en Turquía ya es una aventura suficiente. Es por eso que te cuidamos durante todo tu viaje.
Mientras estás en casa, tu proveedor médico recibirá tus imágenes de la boca y radiografías. Esto permitirá al equipo dental establecer un plan de tratamiento gratuito, que incluye el costo total del viaje, con transporte y alojamiento en hotel. Este es un servicio que ofrecemos de forma gratuita.
Después de tu llegada a Estambul, te recogemos en el aeropuerto y te llevamos al hotel, primero, y luego a nuestra clínica. Realizaremos una segunda consulta y un análisis completo de tu topografía bucal. Escucharemos tus expectativas y las cumpliremos lo mejor que podamos.
Esta es la etapa de coronación. Relájate mientras realizamos el procedimiento. La operación se realiza bajo anestesia local, lo que significa que es indolora, rápida y sin complicaciones. Al finalizar, te llevaremos de regreso al hotel y te ayudaremos durante tu recuperación.
Un buen cuidado posterior puede marcar una gran diferencia en cuanto a la duración de los resultados. Debes lavar bien tus dientes y cuidar la higiene bucal. No te preocupes, estaremos a tu completa disposición cuando regreses a casa para el seguimiento y todo lo que necesites. Si rechinas los dientes, asegúrate de usar los protectores nocturnos que te daremos.
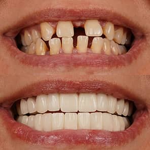
El famoso exfutbolista Itzik Zohar y muchos de nuestros pacientes no nos habrían elegido si nuestros resultados no fueran excelentes. ¡Las imágenes hablan más que las palabras! Galería de Fotos de Coronas Dentales en Turquía Antes y DespuésCoronas Dentales en Turquía Antes & Después



No todos son buenos candidatos para coronas dentales. Factores como la densidad ósea de la mandíbula, fumar y el historial médico pueden poner en peligro el éxito de la operación. Al consultar con un profesional dental, se puede determinar que las coronas no son la opción adecuada para ti.
Esto solo sucedería por la propia seguridad del paciente. Los criterios de rechazo pueden incluir:
Nuestra experiencia en estética dental es el secreto de nuestro saber hacer. Analizamos la estructura única de tus dientes y creamos armonía en tu sonrisa. ¡No lo decimos nosotros, lo dicen nuestros pacientes! Hola, mi nombre es Cezar, tengo 33 años. Esta es mi segunda visita con Care in Turkey y el Dr. Mevlut terminando mi tratamiento de coronas. El proceso fue muy rápido y bueno, estoy muy cómodo con mis nuevos dientes. La clínica tiene un personal profesional, todos aquí fueron buenos y serviciales. La traductora me guió durante todo mi tratamiento, fue muy buena y estuvo conmigo en mi primera y segunda visita. Estoy muy feliz y lo recomiendo a todos. Gracias Care in Turkey. Care in Turkey es el lugar ideal para procedimientos dentales, y el Dr. Mevlut Yazici es un verdadero experto en su campo. Mi tratamiento de coronas dentales fue perfectamente realizado, y la habilidad y precisión del Dr. Yazici son incomparables. Care in Turkey es el lugar al que debes acudir para un cuidado dental excepcional, y el Dr. Mevlut Yazici es un dentista sobresaliente. Mi tratamiento de coronas dentales fue impecable, y la atención al detalle fue impresionante. Estoy agradecida por la maravillosa experiencia. Hola, mi nombre es Giordano Aurelio. Vengo de Suiza. Esta es mi tercera visita aquí en Care in Turkey para coronas de zirconio. Todo estuvo al estándar, no me arrepiento de mi experiencia con ellos. El trabajo fue muy bien realizado, mi traductora Reanim siempre a mi lado y respondiendo a todas mis preguntas. Gracias al Dr. Mevlut, muy competente y profesional. Gracias a su magnífico equipo, lo recomiendo encarecidamente. Recomendaría altamente esta clínica para cualquier trabajo dental que necesites. Me colocaron 20 coronas y no podría estar más feliz con mis nuevos dientes. Inicialmente estaba preocupada por viajar del Reino Unido a Turquía, pero la hospitalidad ha sido insuperable. Tienen un conductor que te recoge y te lleva después de cada cita, y el trabajo dental ha sido brillante. 10/10.Reseñas
Personal Profesional
![]()
27 de abril de 2024Un Verdadero Experto
![]()
16 de octubre de 2023El Tratamiento Fue Impecable
![]()
13 de octubre de 2023Equipo Magnífico
![]()
25 de octubre de 2024No Podría Estar Más Feliz
![]()
25 de octubre de 2023
Colocar coronas dentales no es un procedimiento peligroso. Pero esto no significa que no haya riesgos asociados.
Al igual que con cualquier otro procedimiento médico, los pacientes deben considerar tranquilamente lo siguiente antes de someterse al tratamiento. Las posibles consecuencias pueden incluir:
Obtener coronas dentales en Turquía no implica grandes riesgos, pero es un procedimiento no reversible.
Te sugerimos que reflexiones cuidadosamente sobre este hecho antes de dar tu consentimiento médico. Será necesario un análisis dental exhaustivo para determinar si eres apto para el procedimiento, y si es recomendable para ti.
Nuestro objetivo es cuidar de tus dientes saludables y hacer las correcciones necesarias para mejorar el equilibrio, la belleza y la funcionalidad.
Los pacientes que encontraron los mayores beneficios de las coronas dentales en Turquía fueron:
Puedes obtener el tratamiento de la más alta calidad a precios asequibles. Nuestros pacientes comparten una cosa en común: sin arrepentimientos.
Claro que sí, hay buenos y malos profesionales, como en cualquier lugar. ¡Turquía no es una excepción a esta regla!
Con un aspecto agravante: la industria médica turca ha florecido en los últimos años, y donde hay grandes oportunidades de negocio, también hay grandes estafadores.
Los miles de pacientes que vuelan mensualmente han llevado a que compañías dudosas con sede en Turquía creen establecimientos no acreditados, atrayendo a posibles clientes proyectando una imagen de legalidad y profesionalismo en línea.
Puedes estar tranquilo, Estambul es hogar de establecimientos médicos sobresalientes. Pero debes separar el trigo de la cizaña.
Después de una investigación exhaustiva, puedes tomar una decisión informada y tranquila. Entonces, obtener coronas dentales en Turquía será tan seguro como en cualquier otro establecimiento de calidad.
Para estar seguro, te alentamos a que verifiques primero que todo que tu proveedor médico elegido esté certificado por el Ministerio de Salud de Turquía.
No debes conformarte con un banner en línea, ya que puede ser falso. Para obtener la máxima seguridad, debes comunicarte con la Dirección General del Ministerio de Salud y verificar si la empresa aparece en su registro.
Turquía cuenta con dentistas muy experimentados que realizan trabajos sobresalientes. Pero también hay profesionales que aparentan ser serios sin estar debidamente licenciados. Como en cualquier lugar, investiga por tu cuenta y elige basándote en reseñas, consultas, fotos de antes y después, certificaciones e instinto.
Depende: ¿cuánto tiempo puedes quedarte para disfrutar de este increíble país mediterráneo? Si sólo te interesa el viaje médico, tres días bastan: llegada, operación y revisión final antes del regreso.
Sí. Los cepillos eléctricos suelen ofrecer una limpieza más profesional y profunda.
Sí. Están diseñadas para parecer lo más naturales posible y, tras años de perfeccionamiento, son casi indistinguibles de un diente real.
Todo puede romperse, incluso la corona de zirconio más resistente. Pero si no masticas objetos duros ni practicas Muay Thai, es prácticamente imposible. Lo más probable es que se desprenda antes si tu encía o hueso son deficientes.
Evita el consumo excesivo de cigarrillos, café, té u otros alimentos y bebidas que manchen los dientes. También ayuda usar férula y un buen dentífrico.
Sí. Si el diente o implante que sirve de anclaje no está bien colocado, o si el hueso o la encía son deficientes, la corona puede desprenderse.
Si no cuidas bien tus coronas, con el tiempo se mancharán, especialmente si son de porcelana y bebes mucho café. Las de zirconio, sin embargo, no se manchan.
Podríamos invertir la pregunta: ¿es caro tener buen aspecto? ¿Es caro poder masticar y hablar bien? Depende. El precio varía mucho según la marca y el número de coronas. Contáctanos para recibir un presupuesto gratuito.
Según tu situación, pueden mejorar tu vida enormemente. Podemos darte asesoramiento profesional, pero debes investigar y juzgar por ti mismo. Es innegable: las coronas dentales cuestan un 70 % menos en Turquía y tienen la misma calidad que en Europa o EE. UU. Si eliges una clínica certificada y acreditada, deberían ser una buena inversión.
Todo el proceso de colocación de coronas dentales en Turquía se realiza con anestesia local, por lo que es completamente indoloro.
Sí, las coronas dentales pueden usarse para enderezar dientes y cubrir uno o varios dientes torcidos.
No hay una respuesta absoluta; depende de tu presupuesto y de cuánto tiempo quieras que duren tus coronas. Las de zirconio son más caras, pero también más resistentes. La decisión es tuya.
Depende del tipo de corona. Las coronas de zirconio son sumamente resistentes y casi imposibles de agrietar. Si no masticas objetos duros, pueden durar toda la vida. Cuidarlas bien implica usar férula nocturna para evitar el bruxismo y no practicar boxeo —o al menos no con demasiada frecuencia.
Suscríbete y recibe actualizaciones y noticias sobre Care in Turkey