Vivi l'esperienza del trattamento Comfydent di Care in Turkey con impianti dentali in Turchia e mantieni gli sguardi dove dovrebbero essere: nei tuoi occhi!

Vuoi sorridere con fiducia e senza spazi vuoti? Il problema è che gli impianti dentali sono proibitivamente costosi.
Rallegrati e non disperare. Mentre un impianto dentale non costa mai meno di £2,000 nel Regno Unito (e fino a $25,000 negli Stati Uniti), il costo degli impianti dentali in Turchia è di circa £500 per i migliori prodotti svizzeri.
I calcoli si fanno in fretta: volo, hotel e autista privato tutto incluso, risparmi il 70% sugli impianti in titanio. Questo mentre ti godi un trattamento VIP esclusivo e visiti il gioiello del Mediterraneo: Istanbul.
Impianti Dentali in Sintesi
![]()
![]()
![]()
![]()
![]()
![]()
Gli impianti dentali sono radici dentali artificiali che vengono inserite nell'osso mascellare per sostituire un singolo dente mancante, diversi denti mancanti, o per supportare un'intera arcata di denti sostitutivi.
Gli impianti sono solitamente realizzati in titanio e vengono inseriti chirurgicamente nell'osso mascellare. L'osso attorno all'impianto cresce e si fonde con esso, creando una solida base per il dente sostitutivo.
Ti mancano dei denti e l'idea di ottenere impianti dentali in Turchia potrebbe sembrarti interessante. Ma aspetta. Solo perché ti mancano dei denti non significa che hai bisogno di impianti.
Gli impianti sono una soluzione a lungo termine per le persone che hanno perso dei denti a causa di infortuni, malattie parodontali o altre ragioni. Ma se ti mancano dei denti nella parte posteriore della bocca, probabilmente non ne vale la pena.
Se ti mancano denti altrove, è probabile che gli impianti ti permettano di recuperare la capacità di masticare e parlare, e migliorare l'aspetto generale.
I dentisti responsabili si rifiuteranno di trattarti in determinate circostanze. Ci sono casi in cui la chirurgia dentale è controindicata.
I criteri di rifiuto possono includere:
Se vuoi sapere se sei idoneo per gli impianti dentali in Turchia, contattaci per una consulenza online gratuita.
In alternativa, puoi anche fare questo test per ricevere risultati online immediati.
Ci impegniamo a rendere la tua esperienza confortevole e senza stress ottenendo i migliori risultati possibili. Ci riusciamo? Itzik Zohar, una famosa stella del calcio, ha qualcosa da dire a riguardo!
Non esiste "il miglior impianto". Il migliore è sempre il migliore per te, e questo dipende da fattori personali, come il budget, la conformazione dell'osso mascellare e la topografia della bocca.
Possiamo darti consigli professionali, ma l'ultima decisione è sempre tua. Care in Turkey opera con impianti di produzione svizzera Straumann e corone di produzione tedesca Ivoclar.
Ecco i 5 principali tipi di impianti dentali in Turchia:
Gli impianti singoli o endossei "Pearly White" sono inseriti all'interno dell'osso mascellare e fungono da ancoraggio per supportare le corone sopra. Questo tipo di impianti è fattibile solo se l'osso mascellare del ricevente è forte e sano. In caso contrario, sono consigliabili altre alternative.
I pazienti con carenze di vari denti possono essere interessati agli impianti dentali All On 4 in Turchia. Una base di 4 impianti nella parte superiore o inferiore della bocca serve come supporto per adattare un'intera dentiera.
I pazienti la cui struttura ossea non è abbastanza solida avranno una dentiera più duratura con impianti All On 6 anziché All On 4.
Gli impianti sottoperiostali sono la migliore alternativa quando la struttura ossea è insufficiente per posizionare impianti endossei. Questo tipo di impianto non è ancorato nell'osso mascellare e si appoggia invece sopra di esso, sotto la gengiva.
I ponti sono solitamente raccomandati per le persone che hanno perso diversi denti sul lato sinistro o destro della bocca. Di solito consistono in due impianti che sostengono una struttura di 3 o più corone dentali sopra.
Lo Stabilizzatore per Protesi Perfetti per stabilizzare le protesi mobili. I mini-impianti sono più piccoli e meno invasivi, rappresentando una scelta rapida ed economica. Sono ideali per i pazienti con ridotta densità ossea che desiderano fissare saldamente la propria protesi.
NESSUNA tassa a sorpresa, solo... tariffe sorprendenti!
Se hai bisogno di una trasformazione completa del sorriso, i nostri pacchetti di impianti dentali completi in Turchia sono qui per te. Più impianti hai bisogno, maggiore sarà la riduzione del prezzo.
Care in Turkey opera con impianti prodotti in Germania e negli Stati Uniti, non otteniamo offerte speciali rispetto a qualsiasi altra azienda in qualsiasi altro paese.
Il motivo principale dietro il costo degli impianti dentali in Turchia è il tasso di cambio. Il minor valore comparativo della lira turca porta a una riduzione dei costi per il personale, l'affitto, le bollette, l'attrezzatura e così via.
Altri fattori che determinano le differenze di prezzo includono:
Non dovresti viaggiare all'estero senza avere un'idea chiara di come sarà la tua esperienza di turismo medico.
Ecco il processo delle "4 P" degli impianti dentali in Turchia:
Ecco le nostre 6 principali raccomandazioni:
1. Mantieni una buona igiene orale
2. Evita l'uso di tabacco
3. Segui una dieta sana
4. Fai controlli regolari: Visite regolari dal tuo dentista sono essenziali per garantire che l'impianto sia stabile e sano e per rilevare eventuali problemi tempestivamente.
5. Evita forza eccessiva o traumi: Evita di mordere o masticare cibi duri e cerca di evitare azioni che potrebbero esercitare una forza eccessiva sull'impianto.
6. Proteggi il tuo impianto da lesioni: Se pratichi sport o svolgi altre attività che potrebbero causare traumi alla bocca, usa un paradenti per proteggere il tuo impianto.
Dr. Mevlüt Yazici è un parodontologo protesico ed estetico, membro dell'Associazione Turca di Gnatologia e Protesi, membro dell'Associazione di Odontoiatria Estetica Ivoclar e ricercatore con una solida formazione accademica come docente presso l'Università di Marmara.Chirurghi
Dr. Mevlüt Yazıcı
Il Dr. Mevlüt Yazici è un parodontologo protesico ed estetico, membro dell'Associazione Turca di Gnatologia e Protesi, membro dell'Associazione di Odontoiatria Estetica Ivoclar e ricercatore con un rinomato background accademico come docente presso l'Università di Marmara.
Il Dr. Yazici ha conseguito il suo dottorato in Parodontologia presso il Dipartimento di Odontoiatria Protesica ed Estetica, specializzandosi nei progressi nelle corone in zirconio. Ha continuato la sua ricerca mentre insegnava tra il 2011-2017 presso l'Università di Marmara.
Con oltre 10 anni di esperienza come medico, il Dr. Mevlüt ha operato su oltre +1000 pazienti come parodontologo maxillo-facciale tra il 2012-2020.
Nel 2020, il Dr. Mevlüt ha co-fondato la propria Clinica di Odontoiatria Estetica e Implantologia attraverso la quale opera con pazienti stranieri di diverse provenienze con Care in Turkey.
Hai mai acquistato un mobile da montare, saltato un passaggio nelle istruzioni e poi ti sei reso conto che era importante? Lo stesso accade con gli impianti dentali in Turchia.
Ci sono 4 fasi necessarie per il ripristino dei denti. Non 2 fasi, non 3 fasi, ma 4 fasi:
Questo significa: per ottenere impianti dentali in Turchia, devi visitare Istanbul due volte.
Il costo degli impianti dentali in Turchia rimane il 70% più conveniente, ma una doppia visita non è ideale se non ti piace viaggiare.
Per risolvere questo inconveniente, alcune cliniche hanno proposto un'offerta pericolosa per i pazienti stranieri…
“Impianti dentali in giornata in Turchia”.
100% di probabilità di complicazioni se la procedura viene eseguita in un solo giorno. L'analisi della bocca non è sufficientemente accurata a distanza, senza un'adeguata visita clinica. Inoltre, una procedura in un solo giorno non consente tempo di guarigione sufficiente tra le fasi 2 e 4 (vedi sopra). Avvertiamo fortemente i pazienti contro procedure di questo tipo e contro l'uso non etico del marketing per promuovere operazioni pericolose. Gli impianti dentali in giornata in Turchia possono portare a conseguenze molto gravi, tra cui:
Ti invitiamo a consultare il tuo dentista di fiducia e a verificare l'affidabilità di queste informazioni.
Care in Turkey consiglia ai pazienti di fare una ricerca approfondita e di raccogliere diversi pareri prima di scegliere un fornitore di servizi medici.
Ottenere impianti dentali in Turchia costa in media il 70% in meno rispetto all'Europa o agli Stati Uniti. I pacchetti completi di impianti dentali in Turchia hanno un prezzo compreso tra €2500 e €7000. Questo è il costo medio degli impianti all-on-6 sulla parte superiore e inferiore della tua bocca a seconda del tipo e del materiale, inclusi trasporto privato a Istanbul, alloggio in hotel e tutte le spese cliniche. La stessa procedura costa tra £12,000 e £25,000 nel Regno Unito. Questo non include nemmeno la consulenza, che costa circa £150, un servizio che offriamo gratuitamente. Il costo degli impianti dentali in Turchia ha avuto un ruolo decisivo nel boom del turismo medico che ha attratto centinaia di migliaia di pazienti a Istanbul ogni anno dagli inizi degli anni 2010.Costo degli Impianti Dentali in Turchia
La Turchia ha ricevuto 150,000 turisti dentali nel 2019. Questo non è avvenuto senza una ragione.
La reputazione della Turchia per il turismo dentale è cresciuta rapidamente grazie a:
Gli impianti dentali sono un investimento significativo e vogliamo assicurarci che i nostri pazienti abbiano la migliore esperienza possibile.
Se hai un problema con gli impianti dentali in Turchia, il primo passo è contattare la nostra clinica il prima possibile. Il nostro team lavorerà con te per comprendere il problema e fornire una soluzione soddisfacente sul posto.
Il nostro tasso di complicanze è estremamente basso, ma nessuno è infallibile, e nemmeno noi lo siamo. Seguendo gli standard medici e l'etica professionale, abbiamo incorporato una clausola nei nostri Termini e Condizioni che ti garantisce un intervento di revisione gratuito in caso di risultati insoddisfacenti dovuti a negligenza.
Il processo di guarigione dopo un impianto dentale in Turchia può variare a seconda dell'individuo, ma in genere comporta le seguenti fasi:
🏨 Fase post-operatoria immediata: Questa è la prima fase della guarigione, che inizia immediatamente dopo l'intervento. L'area intorno all'impianto potrebbe essere gonfia, livida e dolorante, e potrebbe verificarsi un po' di sanguinamento. È importante seguire le istruzioni post-operatorie fornite dal dentista, assumere i farmaci prescritti, evitare di fumare e utilizzare impacchi di ghiaccio per ridurre il gonfiore.
👨🏻⚕️ Fase di osteointegrazione: Questa è la seconda fase della guarigione, che dura tipicamente tra i 3 e i 6 mesi. Durante questa fase, l'impianto e l'osso circostante si fondono insieme, in un processo noto come osteointegrazione. Questo è un passaggio essenziale nel processo di guarigione, poiché consente all'impianto di diventare una base stabile per il dente sostitutivo.
🦷 Fase dell'abutment: Questa è la terza fase della guarigione, che tipicamente si verifica dopo il completamento della fase di osteointegrazione. Durante questa fase, il dentista posizionerà un abutment, che è un piccolo connettore che collega l'impianto al dente sostitutivo. Questo passaggio può essere eseguito in una o due visite, a seconda del tipo di impianto e delle preferenze del dentista.
💯 Fase protesica: Questa è l'ultima fase della guarigione, che si verifica tipicamente dopo il completamento della fase dell'abutment.
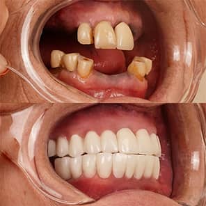
Anche tu puoi ottenere risultati straordinari! Da Care in Turkey, ascoltiamo le tue preoccupazioni e studiamo il tuo caso per stabilire il miglior trattamento.Impianti Dentali in Turchia Prima e Dopo






La nostra priorità è prenderti cura dei tuoi denti sani mentre risolvi i tuoi problemi dentali. Non estrarremo mai alcun dente sano se esiste un'altra alternativa.
Crediamo che questo sia l'approccio migliore. Ogni dente è insostituibile e nessuno è meglio di quelli naturali.
Otterrai il massimo beneficio dagli impianti dentali in Turchia se desideri:
👍🏼 Sostituire i denti mancanti e migliorare il tuo aspetto.
👍🏼 Ripristinare la capacità di masticare e parlare correttamente.
👍🏼 Mantenere la forma del viso e prevenire la perdita ossea.
👍🏼 Migliorare l'autostima e la fiducia in te stesso.
👍🏼 Smettere di usare protesi
Esistono diverse alternative agli impianti dentali, ognuna con i propri vantaggi e svantaggi. La migliore alternativa per un particolare paziente dipenderà dalla sua situazione specifica e dalle sue esigenze. Alcune delle alternative più comuni includono:
Le dentiere sono generalmente realizzate in acrilico o in una combinazione di acrilico e metallo. Sono un'alternativa più economica agli impianti dentali, ma potrebbero non essere stabili o sicure.
I ponti sono dispositivi dentali fissi che sostituiscono i denti mancanti ancorandosi ai denti naturali su entrambi i lati del vuoto. Sono generalmente realizzati in porcellana o metallo, ma possono causare danni a quei denti.
Le corone dentali possono essere posizionate sulla struttura del dente naturale rimanente, fornendo supporto per un ponte o una soluzione autonoma per un singolo dente mancante. Tuttavia, possono anche causare danni a quel dente.
I ponti in resina sono un tipo di ponte dentale che si attacca alla parte posteriore dei denti naturali su entrambi i lati del vuoto. Sono generalmente realizzati in porcellana o metallo. Tuttavia, non sono durevoli come i ponti tradizionali o gli impianti.
Le dentiere supportate da impianti sono una soluzione ibrida tra impianti dentali. Sono generalmente utilizzate per pazienti che hanno perso la maggior parte dei loro denti e non sono idonei per impianti dentali.
La nostra esperienza nelle proporzioni dentali è il pilastro del nostro mestiere. Valutiamo la struttura unica della tua mascella e miglioriamo l'armonia tra i tuoi lineamenti. Non siamo noi a dirlo. Lo dicono i nostri pazienti! Care in Turkey ha davvero alzato il livello quando si tratta di cure dentali, e il dottor Mevlut è un vero gioiello. Con la sua competenza e precisione, ha trasformato le mie imperfezioni dentali in un sorriso hollywoodiano stupendo. La procedura dell'impianto dentale è stata fluida, grazie all'approccio delicato del dottor Mevlut e alla sua attenzione ai dettagli. L'intero team di Care in Turkey emana professionalità e calore. Se cerchi servizi dentali eccezionali, non cercare oltre: il dottor Mevlut e Care in Turkey sono la scelta perfetta. Il dottor Mevlut presso Care in Turkey è un mago dentale che fa meraviglie. Ho seguito un trattamento con impianti dentali e sono rimasta stupita dai risultati impeccabili. La competenza e l'approccio delicato del dottor Mevlut hanno reso l'intero processo semplice e senza problemi. Lo staff di Care in Turkey è stato incredibilmente professionale e ha fornito un'assistenza di alto livello. Per chi cerca un sorriso perfetto e servizi dentali eccezionali, il dottor Mevlut e Care in Turkey rappresentano l'eccellenza. Lo studio è pulito e moderno. Le attrezzature sono di nuova tecnologia ed efficienti. Ho fatto un'estrazione, un rialzo del seno mascellare, un impianto, e sei mesi dopo mi è stato installato un dente artificiale. Mi sento benissimo senza problemi di adattamento o masticazione. Ho avuto un traduttore personale fornito a ogni fase. Era presente a ogni appuntamento, anche se il medico parlava molto bene l'inglese. Mi sono sentita sicura che ogni mia esigenza sarebbe stata compresa e che mi sarebbe stata data una cura eccellente per comprendere ogni procedura eseguita. Ho visitato Care in Turkey per un intervento di impianto dentale. La mia esperienza è stata quella di un'organizzazione molto professionale. Mi hanno estratto circa 10 denti e inserito 12 impianti dentali nel mascellare, più un rialzo del seno mascellare. Durante tutta la procedura non ho sentito dolore. Dopo l'intervento mi sono stati dati 2 tipi di antibiotici, un'iniezione antidolorifica nella gamba e compresse da prendere 24 ore dopo. Tornerò fra 6 mesi per il posizionamento dei denti definitivi. Questo servizio è progettato per garantire che il cliente sia davvero ben seguito, dall'hotel al servizio taxi da e per l'aeroporto e dalla clinica dentale all'hotel. Se siete un po' spaventati all'idea di fare impianti, non c'è motivo di esserlo. Recensioni
Professionalità e Calore
![]()
8 ott 2023Competenza e Approccio Delicato
![]()
7 ott 2023Sensazione Ottima Senza Problemi
![]()
20 gen 2024Servizio Fantastico
![]()
4 ott 2024
Delizioso cibo mediterraneo, 3000 anni di storia, palazzi, harem…
Gli impianti dentali in Turchia possono cambiare la tua vita… o possono solo cambiare la tua bocca.
Scoprire città ricche di storia come Istanbul potrebbe non essere la tua tazza di tè, e va benissimo così.
Ma se lo è, la Turchia può offrirti molto più che solo odontoiatria.
Come per qualsiasi altra procedura medica, gli impianti dentali in Turchia hanno potenziali rischi e benefici. È importante consultare uno specialista qualificato ed esperto per assicurarsi che la procedura sia adatta a te e per comprendere i suoi rischi e benefici.
Il posizionamento degli impianti dentali non comporta la manipolazione di alcun organo, il che significa che i rischi sono molto limitati. Tuttavia, è importante considerare tutte le dimensioni del trattamento. Ti incoraggiamo vivamente a fare le tue ricerche prima di prendere una decisione ponderata.
⚠️ È anche essenziale scegliere una clinica affidabile e certificata, per garantire una procedura sicura e di successo.
In genere, l'intera procedura di impianto può essere completata in 2 giorni. Il problema è che deve trascorrere un periodo di 6 mesi tra quei 2 giorni.
Purtroppo, questa è la procedura standard in tutto il mondo: gli impianti devono diventare abbastanza forti e stabili da supportare i denti sostitutivi, e questo richiede tempo.
Dovrai viaggiare a Istanbul due volte se desideri ottenere impianti dentali in Turchia. La buona notizia è che risparmierai somme a quattro cifre nonostante i 4 biglietti aerei necessari.
Infine, ci sono molte cose da fare e vedere in Turchia. Dalle visite turistiche a Istanbul al prendere il sole sulla costa mediterranea, la Turchia ha qualcosa per tutti.
I nostri pacchetti di impianti dentali completi in Turchia includono:
La Turchia è piena di dentisti molto esperti che svolgono un lavoro eccellente. Ma ci sono anche dentisti scadenti che proiettano un’immagine di professionalità pur non essendo nemmeno adeguatamente abilitati. Come ovunque, dovrai fare le tue ricerche e scegliere in base a recensioni, consulenze, foto del prima e dopo, certificazioni e istinto.
Iscriviti e ricevi aggiornamenti e notizie su Care in Turkey