Si vous avez des dents fissurées ou tachées, vous pouvez obtenir un sourire Hollywoodien en Turquie à une fraction du coût.

Les dents peuvent se fissurer, se tacher ou tomber en raison du tabagisme, du bruxisme ou du MMA. Des dents détériorées ne vous empêcheront pas de continuer votre quotidien, mais elles affecteront votre estime de soi et votre qualité de vie.
Conception de Sourire en un Coup d'Œil
![]()
![]()
![]()
![]()
![]()
![]()
Vous avez pris rendez-vous avec la clinique dentaire à Istanbul et dit que vos dents vous dérangent. Si vous voulez un sourire hollywoodien, Istanbul est l'un des meilleurs choix possibles pour vous. Ici, vous recevrez le meilleur traitement possible. Votre dentiste examinera votre santé bucco-dentaire en s'asseyant sur la chaise d'examen avant de vérifier vos dents.
C’est ainsi que vous pourrez comprendre vos problèmes dentaires et ce dont vous avez besoin comme pratique esthétique. Après l’intervention, vous pourrez sourire avec un beau sourire au lieu de vos anciennes dents de travers. Une fois la procédure terminée, vous pourrez obtenir toutes les informations sur vos nouvelles dents auprès de votre dentiste.
Le parcours de chacun est différent. La raison en est que les processus nécessaires à cet égard diffèrent d'une personne à l'autre. Pour commencer, le patient doit être traité s'il a des problèmes. Si c'est le cas, leurs médecins travailleront immédiatement à éliminer le problème. En général, une estimation approximative de la durée totale dépendra du type de traitement préféré par le patient.
Le terme sourire hollywoodien peut désigner une combinaison de traitements dentaires ayant un objectif commun : créer un sourire harmonieux et éclatant.
Selon votre situation actuelle, vous pourriez avoir besoin d’un ou plusieurs des éléments suivants pour atteindre votre objectif :
Les implants dentaires sont des racines dentaires qui fournissent une base permanente pour des dents de remplacement fixes ou amovibles. Ils sont une option populaire et efficace pour les personnes qui ont perdu une ou plusieurs dents en raison d'une blessure, d'une maladie parodontale ou d'autres raisons.
Une couronne dentaire est un dispositif de restauration en forme de capuchon placé sur une dent endommagée ou un implant pour restaurer sa forme, sa taille, sa force et son apparence. Une couronne recouvre complètement la partie visible de la dent. Les couronnes sont généralement en porcelaine, en céramique ou en alliages métalliques.
Les facettes dentaires sont des coquilles fines en porcelaine ou en résine composite qui sont fabriquées sur mesure pour s’adapter à la surface avant d’une dent afin d’en améliorer l’apparence. Elles sont utilisées pour corriger des problèmes tels que les éclats, les fissures, la décoloration, les malpositions et les espaces entre les dents.
L'orthodontie est une branche de la dentisterie qui se spécialise dans le diagnostic, la prévention et le traitement des irrégularités dentaires et faciales. La pratique de l'orthodontie implique l'utilisation de divers appareils, tels que des appareils dentaires, des appareils de rétention et des casques, pour corriger les problèmes d'alignement des dents et des mâchoires.
Dr. Mevlüt Yazici est parodontologiste prothétique et esthétique, membre de l'Association turque de gnathologie et de prothèses, membre de l'Association de dentisterie esthétique Ivoclar et chercheur avec une réputation académique en tant que conférencier à l'Université Marmara.Chirurgiens
Dr. Mevlüt Yazıcı
Les traitements du sourire hollywoodien sont généralement purement esthétiques et ne constituent en aucun cas une question de vie ou de mort. Mais cela ne signifie pas qu'ils ne sont pas importants. Ils peuvent être fortement recommandés selon les circonstances dans lesquelles vous vous trouvez.
Si vos dents sont légèrement sales ou si vous manquez quelques molaires à l’arrière de votre bouche, vous n’en avez probablement pas du tout besoin.
Mais si vos dents affectent votre estime de soi au point que vous avez peur de socialiser, cela vaut vraiment la peine d'envisager un relooking du sourire en Turquie.
Beaucoup de gens sont rebutés par le coût élevé des traitements dentaires. Heureusement, un sourire hollywoodien en Turquie les rend accessibles à un large public avec des prix jusqu'à 70 % moins chers.
Les études confirment que les personnes souriantes mènent des vies plus heureuses et plus réussies. De plus, sourire est contagieux. Ce qui en fait presque un devoir moral.
Voici ce que nos patients ont dit de leur sourire hollywoodien en Turquie, et à quel point nous les avons mal traités. Alors, souriez-vous déjà ?
Près de 200 000 patients se rendent en Turquie chaque année pour un traitement dentaire.
Un sourire hollywoodien en Turquie peut être un choix populaire pour de nombreuses personnes, mais il est important de réfléchir calmement aux avantages et aux inconvénients :
Un Hollywood Smile en Turquie coûte jusqu'à 70% moins cher qu'au Royaume-Uni et aux États-Unis, le prix exact dépendra des traitements que vous choisirez. Pour obtenir une estimation plus précise, vous pouvez consulter notre tableau ci-dessous. Pour vous donner une idée, le prix complet d'une transformation du sourire en Turquie, incluant des implants et des couronnes, oscille entre 3000 € et 9000 €, tandis qu'au Royaume-Uni, le même traitement se situe dans la fourchette de 8000 £ à 24 000 £. Le prix d'un Hollywood Smile en Turquie inclut l'hébergement, les transferts privés, les soins postopératoires, le suivi, un dîner pour 2, des protections dentaires et des prothèses temporaires (si applicable). Il n'est pas surprenant que le coût d'un Hollywood Smile en Turquie ait été l'un des principaux facteurs de la réputation croissante de la Turquie en tant que destination attrayante pour le tourisme dentaire. Care in Turkey ne produit pas d'implants, couronnes ou résines. Nous faisons venir les implants Straumann de Suisse, tandis que les couronnes en zirconium que nous utilisons proviennent d'Allemagne. Nous fournissons des certificats sur demande. Nous n'avons aucun accord spécial avec nos partenaires fabricants et nous ne bénéficions pas de réductions plus importantes que les autres cliniques important des produits de haute qualité d'autres régions du monde. La principale raison du coût réduit d'un Hollywood Smile en Turquie est principalement l'échange de devises. Cela réduit tous les autres coûts, tels que la main-d'œuvre, l'équipement, le loyer et les commodités. D'autres facteurs incluent les exemptions fiscales (l'industrie médicale turque est fortement subventionnée par l'État), ainsi que la forte concurrence au sein du secteur. Pourquoi un Hollywood Smile est-il moins cher en Turquie ?Quel est le Coût d'un Hollywood Smile en Turquie ?
L'expérience de chaque patient variera en fonction de ses circonstances. Alors que certaines personnes intègrent un traitement dentaire dans des vacances d'été de 2 semaines, d'autres viennent en Turquie exclusivement pour recevoir un traitement. En résumé, la durée et les spécificités d’un sourire hollywoodien en Turquie dépendront de votre cas individuel, du traitement dentaire préféré et de la clinique choisie. Globalement, les 6 étapes suivantes peuvent servir de guide utile sur la façon dont le processus se déroulera :
pendant que vous êtes chez vous, vous bénéficierez d'une consultation en ligne gratuite pour parler avec un professionnel dentaire via vidéo, appel vocal ou message texte. Vous recevrez un plan de traitement gratuit et un devis.
Après avoir convenu d'un traitement et d'un chirurgien, vous prendrez les dispositions nécessaires pour venir en Turquie. Vous réserverez votre vol après avoir choisi votre date préférée, et nous organiserons votre hébergement à Istanbul ainsi que votre transport privé à prix réduit.
Une fois arrivé en Turquie, vous aurez une consultation initiale pour discuter du plan de traitement et effectuer les examens médicaux nécessaires. Si tout est en ordre, nous passons à la phase opératoire.
Un sourire hollywoodien en Turquie commence par un nettoyage complet des dents. Ensuite, le traitement aura lieu, que ce soit des couronnes ou des implants. La procédure peut se faire en une ou plusieurs séances, selon votre état.
Après le traitement, nous vous donnerons des instructions pour entretenir votre nouveau sourire hollywoodien. Nous serons là pour vous aider avec tout ce dont vous avez besoin. Il est normal de ressentir une sensibilité ou une gêne, mais cela disparaîtra en quelques jours.
Après votre retour chez vous, notre équipe de suivi restera en contact étroit avec vous. Nous nous assurerons que vous êtes satisfait et que vous profitez pleinement de votre nouveau sourire.
Selon le traitement qui vous intéresse, ainsi que votre état de santé, il se peut que vous ne puissiez pas recevoir un traitement pour un sourire hollywoodien en Turquie.
Nous offrons des services de consultation en ligne gratuits pour répondre à toutes vos questions et vous aider du mieux que nous pouvons.
Un relooking du sourire ne manipule aucun organe, donc il est relativement sans risque. Cela ne signifie pas qu'un sourire hollywoodien ne peut pas se dérouler de manière inattendue. Par la loi, les dentistes sont tenus de vous informer de tous les risques possibles avant que votre consentement ne soit donné. Des accidents peuvent survenir lors d'un sourire hollywoodien en Turquie. Les conséquences potentielles incluent :
Nous conseillons à nos patients de réfléchir calmement à ces faits et de prendre une décision mûrie. Il est d'une importance capitale de choisir un prestataire médical réputé certifié par le ministère turc de la Santé. Si ces précautions sont prises, la procédure devrait se dérouler en toute normalité.
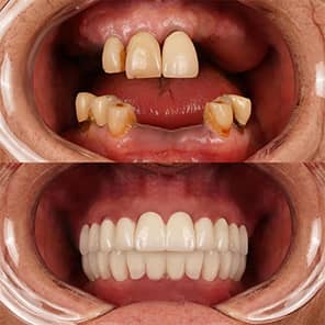
Nous écoutons vos préoccupations et étudions votre cas pour établir le meilleur traitement. Comme beaucoup de nos patients avant vous, vous pouvez obtenir des résultats extraordinaires.Conception de Sourire en Turquie Avant & Après


C'est l'une des questions les plus fréquentes que nous recevons. La réponse dépend du traitement dont nous parlons. Le blanchiment des dents, par exemple, ne dure généralement pas plus de 6 à 12 mois.
Dans le cas des implants et des couronnes, cela dépend principalement du produit. Les couronnes en zirconium, par exemple, sont beaucoup plus résistantes que les couronnes en porcelaine. Si des soins appropriés sont pris, elles peuvent durer 20 ans ou plus, voire toute une vie.
Que voulons-nous dire par soins appropriés ? Tout d'abord, il est crucial de suivre des habitudes d'hygiène régulières, comme le brossage des dents, et d'éviter de consommer trop de sucre, de fumer de manière excessive, et de boire du thé ou du café.
Si toutes ces précautions sont prises (et si vous ne faites pas de la boxe quotidiennement), selon le produit, il est sûr de dire qu’un relooking complet du sourire peut durer de 15 à 20 ans.
Notre expertise en proportions dentaires est la pierre angulaire de notre savoir-faire. Nous évaluons la structure unique de votre mâchoire et améliorons l'harmonie entre vos traits. Ce n’est pas nous qui le disons. Ce sont nos patients ! Dr Mevlut chez Care in Turkey est un maestro dentaire qui fait des merveilles. Mon traitement pour un sourire Hollywoodien a dépassé toutes mes attentes, grâce à ses compétences exceptionnelles et son dévouement. L'attention aux détails et la douceur du Dr Mevlut m'ont mise à l'aise tout au long du processus. L'équipe de Care in Turkey respire le professionnalisme et crée une atmosphère accueillante. Si vous recherchez une transformation dentaire qui vous fera rayonner, le Dr Mevlut et Care in Turkey sont le choix parfait. L'équipe de la clinique dentaire Care In Turkey vous donne envie de sourire. Tout le monde est super gentil et amical. Vous êtes toujours traité avec grand soin grâce au service de Care in Turkey. Une clinique super propre et moderne, où l’hygiène et la propreté sont au plus haut niveau ! Extrêmement satisfait !!! Dès que je les ai contactés jusqu’à mon arrivée, j’ai eu confiance et j’étais heureuse de savoir que j’étais entre de bonnes mains. On m’a récupéré à l’aéroport pour aller à l’hôtel, et pour tous mes rendez-vous, un chauffeur est venu me chercher. Le niveau de soins et de traitements à la clinique, ainsi que le service de l’hôtel à la clinique, étaient de premier ordre. Jamais aucun problème, toujours là pour m’aider et me soutenir pour quoi que ce soit. Si je devais dire quelque chose, c’est qu’avec Care In Turkey, vous obtenez les meilleurs soins et le meilleur service de toute leur équipe. Merci de m'avoir redonné le sourire. Dr Mevlut de Care in Turkey est un dentiste exceptionnel qui offre des soins de qualité supérieure. J'ai fait poser des implants dentaires et je ne pourrais pas être plus heureuse des résultats. L'expertise et la précision du Dr Mevlut se reflètent dans mon sourire restauré. Toute l'équipe de Care in Turkey a été amicale et m'a mise à l'aise tout au long du processus. Je recommande vivement le Dr Mevlut et Care in Turkey à tous ceux qui ont besoin d'implants dentaires ou d'autres services dentaires. Dr Mevlut de Care in Turkey est un dentiste très compétent qui se soucie vraiment de la santé bucco-dentaire de ses patients. J'ai fait un traitement pour un sourire Hollywoodien et les résultats sont fantastiques. L'attention aux détails et l'expertise du Dr Mevlut sont remarquables. Le personnel de Care in Turkey était amical et professionnel, créant un environnement accueillant. Si vous cherchez un dentiste qui peut vous offrir un sourire éblouissant, je recommande vivement le Dr Mevlut et Care in Turkey.Avis
Un Choix Parfait
![]()
9 octobre 2023Super Gentils et Amicaux
![]()
6 octobre 2023Je Me Sentais Entre de Bonnes Mains
![]()
14 novembre 2024Je Ne Pourrais Pas Être Plus Heureuse
![]()
8 octobre 2023Un Dentiste Très Compétent
![]()
8 octobre 2023
Un relooking de sourire est un concept large qui peut intégrer tout traitement dentaire améliorant l'apparence générale de vos dents.
En plus de ceux que nous avons mentionnés, les alternatives suivantes peuvent être des traitements très réussis :
Invisalign propose des appareils dentaires modernes et invisibles qui corrigeront votre occlusion de manière inaperçue, si les appareils dentaires traditionnels visibles ne sont pas votre option préférée. Vous pouvez également avoir des appareils de nuit.
Si vous voulez réparer des fissures dentaires mais ne souhaitez pas de couronnes complètes, les plombages dentaires peuvent faire l'affaire. Ce n'est pas durable, mais cela peut être une excellente solution pour les petites imperfections.
Les prothèses peuvent être ancrées avec l'utilisation d'implants dentaires, résolvant ainsi un problème majeur : le manque de maintien et de force lors de la mastication.
Toutes les cliniques dentaires en Turquie ne se valent pas. Les normes de qualité peuvent varier, c'est pourquoi il est absolument crucial de trouver une clinique réputée et certifiée.
Vous devez mener une enquête approfondie et vous assurer que les points suivants sont respectés par votre prestataire médical :
Si votre prestataire médical coche toutes ces cases, vous pouvez vous attendre à ce que l'opération soit aussi bonne que dans tout autre établissement de haute qualité.
En général, le traitement peut nécessiter d'une à plusieurs séances, chacune durant environ une à deux heures.
Pour un patient venant du Royaume-Uni, en tenant compte du temps de voyage, de la consultation initiale, du traitement proprement dit et des rendez-vous de suivi, la durée minimale de son séjour en Turquie pour un traitement de sourire hollywoodien serait d'environ 4 à 5 jours.
Il est important de noter que certains patients peuvent avoir besoin de procédures supplémentaires, telles que des chirurgies buccales ou des traitements orthodontiques, avant de subir un traitement de sourire hollywoodien. Dans de tels cas, la durée du séjour peut être plus longue.
Nos forfaits de lifting du ventre en Turquie incluent :
Cela dépend du traitement dont on parle précisément. Le blanchiment dentaire, par exemple, n’est pas permanent. En revanche, les couronnes et les implants peuvent durer toute une vie si l’on en prend correctement soin.
Cela dépend de votre situation. S’il ne vous manque aucune dent et que vos dents sont seulement légèrement tachées, ce n’est probablement pas nécessaire. En revanche, s’il vous manque de nombreuses dents, obtenir un Hollywood Smile en Turquie sera très certainement un excellent investissement.
Un appareil peut parfois être conseillé, voire nécessaire, pour garantir les meilleurs résultats. Pour répondre précisément, nous devrons examiner votre bouche et votre situation dentaire.
Les facettes dentaires peuvent faire partie d’un Hollywood Smile ou d’une transformation du sourire, mais ce n’est ni systématique ni exclusif.
La Turquie compte de nombreux dentistes très expérimentés qui réalisent un travail remarquable. Mais il existe aussi de mauvais dentistes qui donnent une image professionnelle sans être correctement agréés. Comme partout ailleurs, vous devrez faire vos propres recherches et choisir sur la base des avis, de la consultation, des photos avant/après, des certifications et de votre instinct.
Inscrivez-vous et recevez des mises à jour et des nouvelles sur Care in Turkey